Perfectionner ma pratique en échocardiographie au quotidien à travers des cas cliniques. Partie 2.

Réference : EC0010

Dates

  • 16/12/2025

Dates limite d'inscription : 01/12/2025

Présentiel : 16/12/2025
Durée: 1 journée de 7h en présentiel de 09h à 18h

1 session

  • Le 16/12/2025 de 09:00:00 à 18:00:00 Veterinarius / Maisons-Alfort - Formateur(s) : Cécile DAMOISEAUX

Type de formation

Présentiel

Type de participant

Vétérinaire

Site de la formation

Veterinarius
17 Rue Fernet, 94700 Maisons-Alfort, France

17 Rue Fernet, 94700 Maisons-Alfort, France

Attribution des points de formation (CFC)

Le suivi de l'intégralité de la formation et le succès au contrôle des acquis (au moins 10/20) créditent le participant de 1.38 CFC

Modalités de la formation

Type de formation : Echographie cardiaque, Imagerie

Nombre maximum de participants : 9

Cette formation est-elle pour moi ?

Je connais les bases de l’échocardiographie normale et je souhaite progresser en échocardiographie pathologique.

Cette formation est conçue pour m’aider à consolider et affiner ma pratique en médecine générale, en utilisant l’échocardiographie comme outil d’aide au diagnostic et à la décision thérapeutique, à travers l’analyse de cas cliniques concrets, des discussions interactives et des vidéos d’examen.

Elle m’apportera une meilleure compréhension de la place de l’échocardiographie dans la prise en charge globale d’un cas clinique, en me guidant dans l’interprétation des résultats et dans le choix d’une approche thérapeutique adaptée.

Pré-requis

Cette formation s’adresse aux vétérinaires ayant déjà une expérience en échocardiographie.

Elle a été conçue spécifiquement pour les personnes ayant participé aux modules EC001, EC002, EC003 et EC004 chez Veterinarius, ou à toute autre formation équivalente permettant de se sentir à l’aise dans la réalisation et l’interprétation d’une échocardiographie normale.

Objectifs pédagogique

A l’issue de la formation les participants seront capables de :

  • Maîtriser la prise en charge des affections cardiaques congénitales les plus fréquentes chez le chien et le chat.

  • Identifier, classifier et graduer les cardiopathies congénitales à partir des anomalies détectées en échocardiographie 2D, TM et Doppler.

  • Interpréter de manière croisée les informations issues des différents modes échographiques (2D, TM, Doppler) pour affiner le diagnostic.

  • Savoir quand proposer un examen complémentaire (radiographie, scanner, IRM, etc.) pour mieux caractériser ou préciser la gravité de la lésion.

  • Déterminer la prise en charge thérapeutique adaptée, médicale ou chirurgicale, en fonction des résultats échographiques et du contexte clinique.

Déroulement de la formation

1. Cas cliniques interactifs – Cardiopathies congénitales du chien et du chat
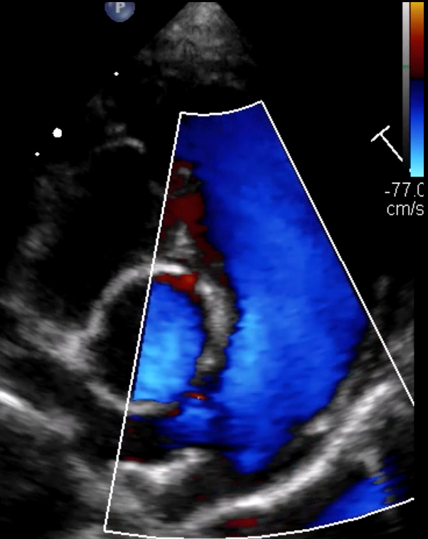
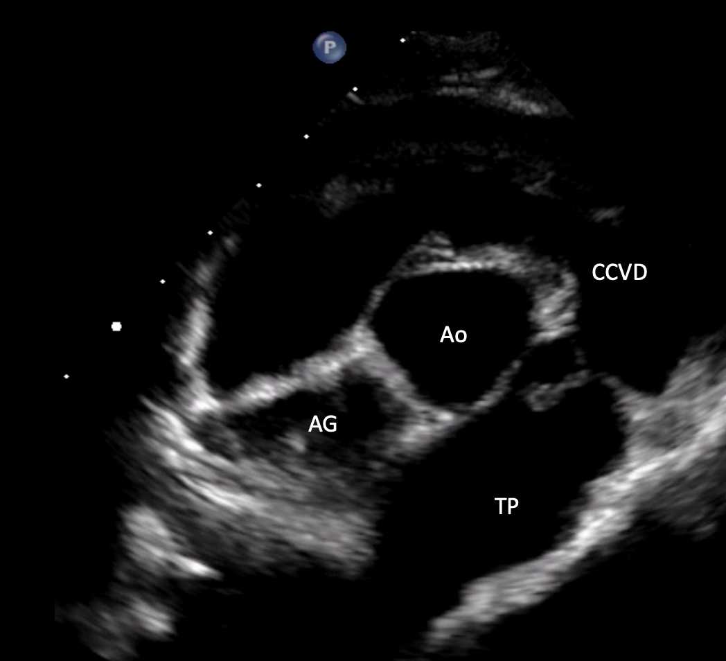
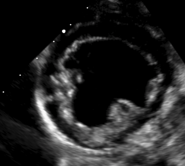
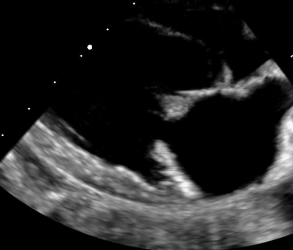
Analyse de cas cliniques illustrés par des images fixes et/ou des vidéos d’échocardiographie (2D, TM, Doppler).
Objectif : apprendre à repérer, décrire et interpréter les anomalies échographiques dans une démarche diagnostique rigoureuse, jusqu’à l’établissement de diagnostics différentiels.

2. Rappels théoriques ciblés
Revue des bases en échocardiographie 2D, TM et Doppler appliquées aux cardiopathies congénitales.
Présentation des recommandations thérapeutiques actuelles pour ces affections.

3. Travaux pratiques sur chats
Mise en application pratique sur animaux, permettant d’approfondir l’examen échocardiographique dans un contexte réaliste et clinique.

Documents de formations

Diapositives des présentations théoriques sous format papier en couleur et sous format pdf par lien Dropbox

Un échographe disponible pour 2 à 3 participants.

Méthodes mobilisées

  • Présentation théorique avec support (PowerPoint, vidéos...)
  • Travaux dirigés
  • Travaux pratiques
  • Contrôle des connaissances : QCM

Formateur(s)

image formadore Cécile DAMOISEAUX
Cécile DAMOISEAUX
DMV, Dip.ECVIM-CA
Docteure vétérinaire spécialiste en cardiologie. Cécile est diplômée du Collège Européen de Médecine Interne spécialité... Détail

Tarif

749 € HT (898.8 € TTC)

Informations sur le prix

🍽️ Déjeuner au restaurant inclus pour les formations en présentiel.

Si vous vous inscrivez aux deux journées de perfectionnement (partie 1 et partie 2 – références EC009 et EC010), vous bénéficiez d’une réduction de 10 % sur la seconde journée.
➡️ Pour en profiter, merci d’envoyer un mail à info@veterinarius.fr avant de vous inscrire à la deuxième journée, afin d’obtenir votre coupon de réduction.
⚠️ Réduction non cumulable avec d'autres offres.