Perfectionner ma pratique en échocardiographie au quotidien à travers des cas cliniques. Partie 1.

Réference : EC009

Dates

  • 15/12/2025

Dates limite d'inscription : 01/12/2025

Présentiel : 15/12/2025
Durée: 1 journée de 7h en présentiel de 09h à 18h

1 session

  • Le 15/12/2025 de 09:00:00 à 18:00:00 Veterinarius / Maisons-Alfort - Formateur(s) : Cécile DAMOISEAUX

Type de formation

Présentiel

Type de participant

Vétérinaire

Site de la formation

Veterinarius
17 Rue Fernet, 94700 Maisons-Alfort, France

17 Rue Fernet, 94700 Maisons-Alfort, France

Attribution des points de formation (CFC)

Le suivi de l'intégralité de la formation et le succès au contrôle des acquis (au moins 10/20) créditent le participant de 1.3 CFC

Modalités de la formation

Type de formation : Echographie cardiaque, Imagerie

Nombre maximum de participants : 9

Cette formation est-elle pour moi ?

Je connais les bases de l’échocardiographie normale et je souhaite progresser en échocardiographie pathologique.

Cette formation est faite pour moi si je veux consolider et affiner ma pratique en médecine générale grâce à l’échocardiographie, à travers l’analyse de cas cliniques concrets, des discussions interactives et des vidéos d’examen.

Elle m’aidera à mieux intégrer l’échocardiographie dans ma démarche diagnostique et thérapeutique, en la replaçant dans le contexte global de la prise en charge clinique.

Pré-requis

Cette formation s’adresse aux vétérinaires ayant déjà une expérience en échocardiographie.

Elle a été conçue spécifiquement pour les personnes ayant suivi les modules EC001, EC002, EC003 et EC004 chez Veterinarius, ou toute autre formation équivalente permettant de se sentir à l’aise dans la réalisation d’une échocardiographie normale.

Objectifs pédagogique

A l’issue de la formation les participants seront capables de :

  • Maîtriser la prise en charge des affections cardiaques acquises les plus fréquentes.
  • Utiliser les anomalies observées en modes 2D, TM et Doppler pour classifier et graduer les cardiopathies acquises.
  • Savoir interpréter de manière croisée les données issues du Doppler et celles issues des modes 2D et TM.
  • Identifier les examens complémentaires pertinents à proposer pour affiner le diagnostic ou évaluer la gravité de la lésion.
  • Déterminer une approche thérapeutique adaptée en fonction des résultats de l’examen échocardiographique.

 

Déroulement de la formation

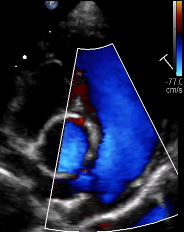
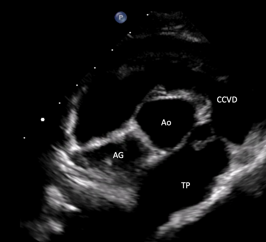
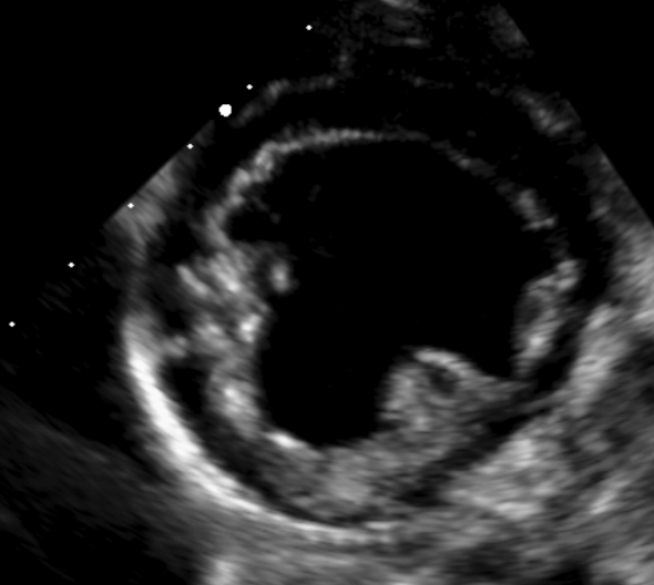
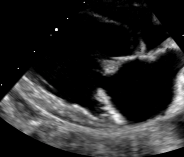
  • Cas cliniques : cardiopathies acquises chez le chien et le chat
    • Étude de cas interactifs à partir d’images fixes et de vidéos en échographie cardiaque (modes 2D, TM, Doppler).
    • Objectif : adopter une démarche systématique pour repérer, décrire et interpréter les lésions échographiques, en vue d’établir un diagnostic différentiel pertinent.
  • Rappels théoriques ciblés
    • Principes de l’échocardiographie 2D, TM et Doppler appliqués aux cardiopathies acquises.
    • Recommandations thérapeutiques selon les consensus actuels pour la prise en charge de ces affections.
  • Travaux pratiques sur chiens
    • Mise en application des connaissances à l’échocardiographie sur chiens, avec accompagnement personnalisé.

Documents de formations

Diapositives des présentations théoriques sous format papier en couleur et sous format pdf par lien Dropbox

Un échographe disponible pour 2 à 3 participants.

Méthodes mobilisées

  • Présentation théorique avec support (PowerPoint, vidéos...)
  • Travaux dirigés
  • Travaux pratiques
  • Contrôle des connaissances : QCM

Formateur(s)

image formadore Cécile DAMOISEAUX
Cécile DAMOISEAUX
DMV, Dip.ECVIM-CA
Docteure vétérinaire spécialiste en cardiologie. Cécile est diplômée du Collège Européen de Médecine Interne spécialité... Détail

Tarif

749 € HT (898.8 € TTC)

Informations sur le prix

🍽️ Déjeuner au restaurant inclus pour les formations en présentiel.

Si vous vous inscrivez aux deux journées de perfectionnement (partie 1 et partie 2 – références EC009 et EC010), vous bénéficiez d’une réduction de 10 % sur la seconde journée.
➡️ Pour en profiter, merci d’envoyer un mail à info@veterinarius.fr avant de vous inscrire à la deuxième journée, afin d’obtenir votre coupon de réduction.
⚠️ Réduction non cumulable avec d'autres offres.