Imagerie (radio et écho) des petits mammifères : rongeurs, lapins et furets

Réference : NAC003-LIVE

Dates

  • 20/05/2026 > 21/05/2026

Dates limite d'inscription : 19/05/2026

Distanciel : 20/05/2026, 21/05/2025
Durée: 2 sessions de 4h en distanciel de 09h à 13h

2 sessions

  • Session 1 (online) : 20/05/2026 de 09:00:00 à 13:00:00 Distanciel - Formateur(s) : David GUILLIER
  • Session 2 (online) : 21/05/2026 de 09:00:00 à 13:00:00 Distanciel - Formateur(s) : David GUILLIER

Type de formation

Présentiel

Type de participant

Vétérinaire

Attribution des points de formation (CFC)

Le suivi de l'intégralité de la formation et le succès au contrôle des acquis (au moins 10/20) créditent le participant de 1.05 CFC

Modalités de la formation

Type de formation : Echographie abdominale, Imagerie, NAC, Radiologie

Nombre maximum de participants : 12

Cette formation est-elle pour moi ?

  • Je veux acquérir les connaissances et compétences pratiques en radiologie et échographie adaptées aux NACs.
  • Je souhaite élargir ma pratique vétérinaire aux rongeurs, lapins et furets.
  • Je cherche à améliorer la qualité de mes diagnostics en médecine des nouveaux animaux de compagnie.

Pré-requis

  • Être vétérinaire diplômé (Docteur Vétérinaire)

  • Maîtriser les bases techniques et sémiologiques de la radiographie thoracique et abdominale, ainsi que de l’échographie abdominale

Objectifs pédagogique

À l’issue de la formation, les participants seront capables de :

  • Décrire et expliciter les modalités techniques d’un examen radiographique et échographique.
  • Identifier les indications et les limites de la radiographie et de l’échographie.
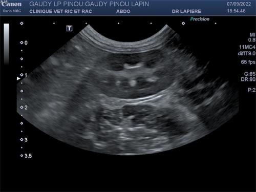
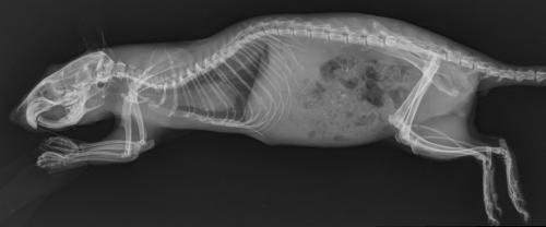
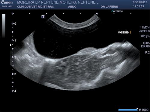
  • Reconnaître les particularités anatomiques des lapins, cobayes, chinchillas, rats et furets sur des clichés radiographiques et des images échographiques.
  • Légender les différents organes visibles sur un cliché radiographique du thorax et de l’abdomen.
  • Détecter, décrire et interpréter les signes radiographiques et échographiques des affections les plus fréquentes chez le lapin, les rongeurs et le furet.

Déroulement de la formation

🔹Première session

  • Exploration radiographique et échographique du thorax des petits mammifères (rongeurs, lapins et furets).

  • Exploration radiographique et échographique du crâne et du squelette des petits mammifères (rongeurs, lapins et furets).

  • Présentation des dominantes pathologiques chez les petits mammifères.

🔹Seconde session

  • Exploration radiographique et échographique de l’abdomen des petits mammifères.

  • Travaux dirigés : cas cliniques sur l’abdomen.

Documents de formations

Documents via Dropbox :  Théorie en format .pdf

Méthodes mobilisées

  • Présentation théorique (PowerPoint, vidéos...)
  • Travaux dirigés autour de cas cliniques interactifs
  • Contrôle des connaissances : QCM

Formateur(s)

image formadore David GUILLIER
David GUILLIER
DMV, Dip.ECZM (Small Mammals)
Docteur Vétérinaire spécialiste en Médecine des petits mammifères. Le Dr Guillier exerce depuis 2020 à... Détail

Tarif

1 € HT (1.2 € TTC)