Cycle en échographie abdominale canine et féline – Partie 2

Réference : CY-ABD-2

Dates

  • 13/03/2026 > 05/06/2026

Dates limite d'inscription : 26/02/2026

Présentiel : 13/03/2026, 14/03/2026, 11/05/2026, 12/05/2026, 05/06/2026
Durée: 5 journées de 7h en présentiel de 09h à 18h

5 sessions

  • Session 1 (presentiel) : 13/03/2026 de 09:00:00 à 18:00:00 Veterinarius / Maisons-Alfort - Formateur(s) : Julien FRITZ
  • Session 2 (presentiel) : 14/03/2026 de 09:00:00 à 18:00:00 Veterinarius / Maisons-Alfort - Formateur(s) : Julien FRITZ
  • Session 3 (presentiel) : 11/05/2026 de 09:00:00 à 18:00:00 Veterinarius / Maisons-Alfort - Formateur(s) : Julien FRITZ
  • Session 4 (presentiel) : 12/05/2026 de 09:00:00 à 18:00:00 Veterinarius / Maisons-Alfort - Formateur(s) : Julien FRITZ
  • Session 5 (presentiel) : 05/06/2026 de 09:00:00 à 18:00:00 Veterinarius / Maisons-Alfort - Formateur(s) : Julien FRITZ

Type de formation

Présentiel

Type de participant

Vétérinaire

Site de la formation

Veterinarius
17 Rue Fernet, 94700 Maisons-Alfort, France

17 Rue Fernet, 94700 Maisons-Alfort, France

Attribution des points de formation (CFC)

Le suivi de l'intégralité de la formation et le succès au contrôle des acquis (au moins 10/20) créditent le participant de 8.25 CFC

Modalités de la formation

Type de formation : Cycle long, Echographie abdominale, Imagerie

Nombre maximum de participants : 9

Cette formation est-elle pour moi ?

  1. Je souhaite acquérir un protocole structuré d’échographie abdominale.
  2. Je veux l’intégrer à ma pratique quotidienne afin d’améliorer la prise en charge de mes patients canins et félins.

Pré-requis

Être vétérinaire diplômé (Docteur Vétérinaire)

Objectifs pédagogique

  • Réaliser de manière méthodique un examen complet de la cavité abdominale crâniale et digestive.

  • Interpréter les principales anomalies échographiques de l’abdomen crânial et digestif.

  • Intégrer les indications de prélèvements échoguidés de l’abdomen crânial et digestif et s’exercer à la réalisation de ponctions sur fantômes.

Déroulement de la formation

Cette formation permet une progression pédagogique accompagnée : le formateur guide le groupe pas à pas, identifie les acquis et les zones de difficulté, puis adapte son approche afin de favoriser l’autonomie des participants.
Chaque journée se déroule en présentiel et est centrée sur les travaux pratiques.

Jour 1 : Le système digestif, vaisseaux et nœuds lymphatiques tributaires.
Matin : Théorie et travaux pratiques

  • Rappeler l’écho anatomie du tube digestif, des vaisseaux et des nœuds lymphatiques tributaires
  • Savoir décrire les images anormales du tube digestif, des vaisseaux et des nœuds lymphatiques tributaires
  • TP d’échographie sur chats

Après-midi : Travaux dirigés et pratiques

  • Interpréter exercices dirigés de reconnaissance et description d’images normales et anormales du tube digestif, des vaisseaux et des nœuds lymphatiques tributaires.
  • TP d’échographie sur chats.

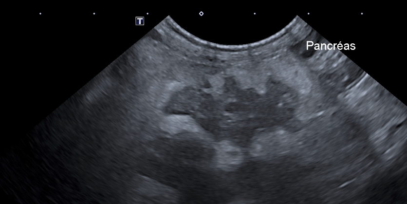
Jour 2 : Le pancréas, vaisseaux et nœuds lymphatiques tributaires.
Matin : Théorie et travaux pratiques

  • Rappeler l’écho anatomie du pancréas, des vaisseaux et des nœuds lymphatiques tributaires
  • Savoir décrire les images anormales du pancréas, des vaisseaux et des nœuds lymphatiques tributaires
  • TP d’échographie sur chiens

Après-midi : Travaux dirigés et pratiques

  • Interpréter exercices dirigés de reconnaissance et description d’images normales et anormales du pancréas , des vaisseaux et des nœuds lymphatiques tributaires.
  • TP d’échographie sur chiens

Jour 3 : L’abdomen crânial : foie, voies biliaires, vaisseaux et des nœuds lymphatiques tributaires.
Matin : Théorie et travaux dirigés

  • Rappeler l’écho anatomie du foie et voies biliaires.
  • Rappeler l’écho anatomie des vaisseaux et des nœuds lymphatiques tributaires.
  • Reconnaître les images anormales du foie, voies biliaires et des vaisseaux tributaires
  • Interpréter exercices dirigés de reconnaissance et description d’images normales et anormales du foie et voies biliaires.

Après-midi : Travaux pratiques et travaux dirigés

  • TP d’échographie sur chats
  • Interpréter exercices dirigés de cas cliniques pathologiques de reconnaissance et description d’images normales et anormales du foie et voies biliaires.

Jour 4 : L’abdomen crânial : rate, vaisseaux et des nœuds lymphatiques tributaires.
Matin : Théorie et travaux dirigés

  • Rappeler l’écho anatomie de la rate.
  • Rappeler l’écho anatomie des vaisseaux et des nœuds lymphatiques tributaires.
  • Reconnaître les images anormales de la rate et vaisseaux tributaires.
  • Interpréter exercices dirigés de reconnaissance et description d’images normales et anormales de la rate.

Après-midi : Travaux pratiques et travaux dirigés

  • TP d’échographie sur chiens
  • Interpréter exercices dirigés de cas cliniques pathologiques de reconnaissance et description d’images normales et anormales de la rate.
  • Débriefing collectif, mot et drink de fin.

Jour 5 : Examen échographique complète de l’abdomen crânial et digestif.
Matin : Théorie et travaux pratiques

  • Discuter les bases de la rédaction de rapports sur l’abdomen crânial et digestif
  • Discuter l’introduction aux prélèvements échoguidés, les indications, contre-indications et risques de l’abdomen crânial et digestif.
  • Travaux Pratiques d’échographie interventionnelle en petits groupes de l’abdomen crânial et digestif avec ponctions sur fantômes.
  • TP d’échographie sur chiens (bilan de l’abdomen crânial et digestif), évaluation individuelle avec validation pratique et conseils

Après-midi : Travaux pratiques

  • TP d’échographie sur chiens (bilan de l’abdomen crânial et digestif), évaluation individuelle avec validation pratique et conseils

Documents de formations

  • Supports de cours imprimés en couleur.

  • Un échographe pour 2 à 3 participants, avec encadrement constant par le formateur.

Méthodes mobilisées

  • Exposé théorique avec support (power point, vidéos…)
  • Travaux dirigés avec études de cas cliniques
  • Travaux pratiques sur chiens/chats et fantômes
  • Contrôle des connaissances : QCM 1 après le jour 2, QCM 2 après le jour 4 et validation pratique jour 5.

Formateur(s)

image formadore Julien FRITZ
Julien FRITZ
DMV, Dip.ECVDI
Docteur Vétérinaire spécialiste en imagerie médicale. Il a été diplômé de l’École Nationale Vétérinaire de... Détail

Tarif

3625 € HT (4350 € TTC)

Informations sur le prix

💳 Paiement en 3 fois sans frais disponible sur demande par virement bancaire. Contactez-nous à info@veterinarius.fr.

🍽️ Déjeuner au restaurant inclus pour les formations en présentiel.